이의 건강은 신장(腎臟)의 원기(元氣)로 지켜야 한다. - 齒牀

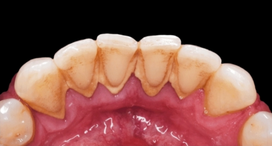
치아(齒牙)가 약해지는 원인 중에서 가장 중요한 것이 치은염(齒齦炎)이다.
잇몸에 염증(炎症)이 생기고 고름이 드는 병(病)인데 입에서 악취(惡臭)가 나는 것도 문제지만 이가 잇몸에서 떨어져 점점 뿌리가 노출되면서 결국은 이가 빠지게 된다.
치은염(齒齦炎)이 생기는 것은 이를 잘 닦지 않고 정기적으로 치과(齒科)의 검진을 받지 않음으로써 치석(齒石)이 생긴 채로 내버려 두기 때문이다.

치석(齒石)이란 치경부(齒頸部)에 침에서 분비된 석회분(石灰分)이 부착해서 굳어져 생긴 물질인데 때때로 제거해 주어야 한다.
‘附齒有黃黑色物 似爛骨之狀者名爲齒牀 治齒者 先看有此物卽用疳刀掠去之 否則齒不着齦也’
치아(齒牙)에 황흑색(黃黑色)인 물렁뼈 비슷한 것이 부착된 것을 치상(齒牀)이라고 하는데 이를 고치는 사람은 무엇보다도 먼저 이것이 있는가를 살펴서 수술용 메스로 긁어내도록 해야지 그렇지 않으면 이가 들떠서 잇몸에서 떨어지게 된다.
이 글을 어찌 수백 년 전 의학서적에서 나온 글이라고 할 수 있겠는가?
오늘날의 치과(齒科) 전문가가 보더라도 바로 그대로일 것이다.

‘白鹽 : 治齒根宣露動搖 以鹽末擦之 熱湯含漱百遍 不過五日 齒卽牢固齒衄湯漱卽止’
소금 : 이뿌리가 노출되어 동요(動搖)하는 것을 고치는데 쓴다. 소금으로 잇몸을 문지르고 따뜻한 물로 양치질하기를 백 번 반복하면 불과 5일에 이가 굳어진다. 또 잇몸에서 피가 나올 때도 소금물로 양치질을 하면 즉시 멎는다.
옛사람들이 주로 소금으로 이를 닦았는데 요즘 다시 소금 치약이 재발견되어 보통 치약 성분에 소금을 배합한 치약이 외국에서도 발매되고 있는데 치은염(齒齦炎)을 예방 또는 치료하는 효과가 있다고 하니 신기한 일이다.
이와 같은 국소요법(局所療法) 외에 전신요법(全身療法)이 있다.

‘齒齦宣露動搖者 腎元虛也 宣八味丸 滋陰補腎’
잇몸이 노출되고 이가 동요(動搖)하는 것은 신장(腎臟)의 원기(元氣)가 허(虛)하기 때문이니 팔미환(八味丸)을 복용하여 자음보신(滋陰補腎)하는 것이 좋다.