키스도 문자를 쓰면 회진법(廻津法)의 일종이다. - 廻津法

‘眞人曰 常習不唾地 盖口中津液 是金漿玉醴 能終日不唾常含而嚥之 令人精氣常留 面目有光’
옛날 진인(眞人)이 있어 말하되 언제나 침을 땅에 뱉지 않는 습성을 지녀야 하며 무릇 입 속의 침은 금장옥례(金漿玉醴)라고 할 수 있을 정도로 소중한 것이며 하루 종일 밖으로 뱉지 않고 계속 삼키면 사람의 정기(精氣)가 몸 속에 보존되어 얼굴에 광택(光澤)이 생긴다.
사람의 몸에서 생기는 진액(津液)이 피부(皮膚)에서는 땀이 되고, 눈에서는 눈물이며, 살에서는 혈액(血液)이며, 신(腎)에서는 정액(精液)이고, 입에서는 침이 되는데, 한혈누정(汗血淚精) 등은 한번 나가면 모두 되돌아오지 못하나 오직 입 속의 진액인 침만은 되돌려 순환시킬 수 있으며 “회회즉생생(廻廻則生生)”이라고 하였다.
이와 같이 침을 뱉지 않고 되돌리는 법을 회진법(廻津法)이라고 한다.
‘有人喜唾液 乾而體枯 遇至人敎以廻津之術 久而體復潤矣’
타액(唾液) 분비를 언제나 이렇게 촉진시켜 주면 타액선(唾液腺)의 기능도 활발하게 되어 노화(老化)방지의 타액선 호르몬도 많이 분비될 것으로 생각할 수 있다.

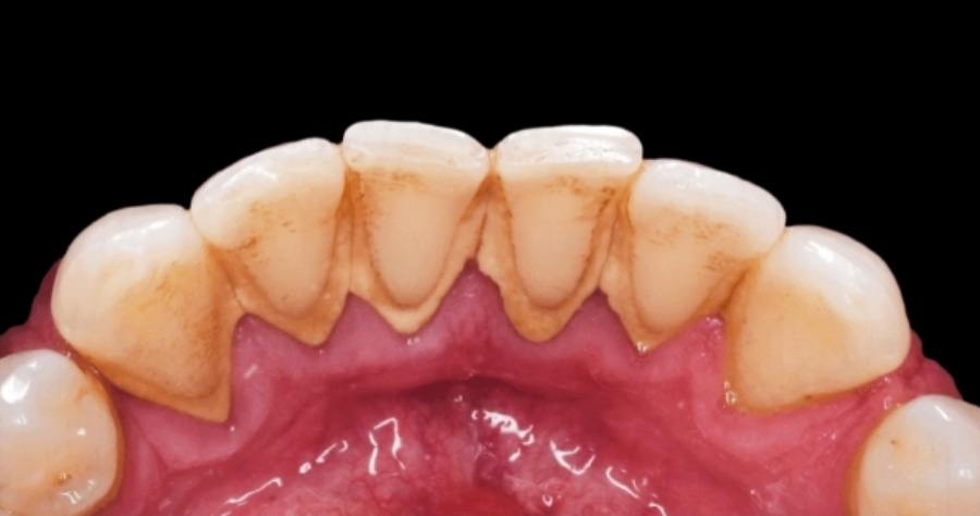
타액(唾液) 속에 있는 점액성분은 탄산칼슘(CaCO3)에 대하여 보호교질(保護膠質) 작용을 하여 칼슘이 결정으로 석출되는 것을 방지함으로써 치석(齒石)이 생기지 않게 하는 작용을 한다고 한다.
건강(健康)이 나빠지면 타액(唾液)의 분비량뿐만 아니라 성분도 변화를 일으켜 입맛이 쓰고, 아리고, 달고, 시큼하고, 짜게 느끼는 등의 변화가 생긴다는 것도 옛사람이 논하고 있다.